Invisalign

Everybody wants a great smile, but a lot of us need help getting there. More and more people are having success with clear orthodontic devices called aligners.  Braces use brackets connected by wires to encourage teeth to move. Aligners are a series of tight-fitting custom-made retainers that slip over the teeth. They’re made from a clear plastic or acrylic material and fit tightly over the teeth, but can be removed for eating, brushing, and flossing. You’ll get a new aligner every few weeks to continue moving the teeth into the desired position.  Invisalign is the largest producer of clear aligners. Because the invisible aligners are custom-built for a tight fit, they are best for adults or teens.

Implants

Implants are synthetic yet biocompatible structures that are placed in the area of the tooth normally occupied by the root. Implants are anchored to the jawbone and act as a foundation for an artificial tooth or permanent bridge. In some cases, implants can be used to attach dentures. Not everyone is a candidate for a dental implant, however. For a successful implant to take hold, a candidate must have proper bone density and have a strong immune system. In all cases, dental implants re quire strict oral hygiene.

Veneers

In just two or three dental visits, a veneer can reverse years of stains caused by foods, caffeine and tobacco use.  Special thin laminates, called veneers, can often be used to correct discolored, worn down, cracked and chipped teeth. Veneers can also be used to close unsightly gaps between teeth. Because veneers require a small amount of enamel to be removed, they are permanent and non-reversible. 

Crowns

A dental crown is a tooth-shaped “cap” that is placed over a tooth  to cover the tooth to restore its shape and size, strength, and improve its appearance.  The crowns, when cemented into place, fully encase the entire visible portion of a tooth that lies at and above the gum line.  A dental crown may be needed to protect a weak tooth (for instance, from decay) from breaking or to hold together parts of a cracked tooth.  It is also use to cover and support a tooth with a large filling when there isn’t a lot of tooth left.

Bridges

A bridge is made up of two crowns for the teeth on either side of the gap.  These two anchoring teeth are called abutment teeth — and a false tooth/teeth in between. These false teeth are called pontics and can be made from gold, alloys, porcelain, or a combination of these materials. Dental bridges are supported by natural teeth or implants.  Bridges can restore the ability to properly chew and speak and distribute the forces in your bite properly by replacing missing teeth.  It also prevents remaining teeth from drifting out of position.   Bridges are cemented permanently on your teeth and can look and feel natural. 

Dentures

Dentures are removable false teeth designed to replace missing teeth. We may recommend complete (full) dentures or partial dentures, depending on how many natural teeth you have lost. Dentures can be created to match your existing teeth, so they are not very noticeable. However, getting used to dentures can take a little practice, particularly when it comes to eating and speaking. Dentures must be brushed daily, just like your regular teeth. We will tell you how to do this. 

Root Canal Treatment

Root canal treatment (also called a root canal) is done when decay will likely damage or has already killed a tooth. During a root canal, we remove the pulp from the center of a tooth and fill the pulp cavity. This can prevent the development of a painful infection in the pulp that may spread to other teeth. A root canal can also treat an infection that has developed into an abscessed tooth. This procedure can relieve toothache, stop infection, and promote healing.

Root Planning and Scaling for Gum Disease

Root planning and scaling is one of the most effective ways to treat gum disease before it becomes severe. Root planning and scaling cleans between the gums and the teeth down to the roots. We may need to use a local anesthetic to numb your gums and the roots of your teeth.  We will use an ultrasonic tool for the planning and scaling. As well as the standard hand scalers to smooth the tooth so it is harder for bacteria to accumulate.  Root planning and scaling is done when gums have either started to pull away from the teeth or the roots of the teeth have hard mineral deposits (tartar) on them.  This procedure is necessary to prevent damage to the bone which can lead to mobility of the teeth.

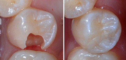
Cosmetic Fillings

To treat a cavity we will remove the decayed portion of the tooth and then “fill” the area on the tooth where the decayed material was removed.  Fillings are also used to repair cracked or broken teeth and teeth that have been worn down from misuse (such as from nail-biting or tooth grinding).  Composite fillings are the most widely-used dental filling material in our office. They’re made of glass or quartz in resin.  Composite fillings bonds well to your tooth and we can closely match the color of the filling to the color of your surrounding natural teeth.

Tooth Extraction

A tooth extraction, or exodontia, is the removal of a tooth. Reasons for a tooth extraction include decayed or broken teeth or a painful tooth that has an infection. They may also be removed to make room for other teeth or an orthodontia treatment. Throughout history, tooth removal has been used to treat a variety of illnesses before the discovery of antibiotics as chronic tooth infections were linked to a number of ailments. 

Your Booking Is Not Yet Confirmed

Please give us a call at (435) 213-8710 now to confirm!